
뇌출혈 Brain hemorrhage
( Cerebral hemorrhage )
뇌출혈이란
* 정의 : 뇌혈관 벽의 약한 부분이 터져 출혈이 생김으로써 발생하는 뇌혈관 장애를 말합니다.
* 원인 : (75%) 고혈압 때문에 뇌혈관의 약한 부분이 터져서, (그 외)혈관 자체의 질병으로 인해서, 백혈병, 외상, 종양, 소아의 경우 모야모야 등
* 증상 : 의식저하/변화, 구토, 두통, 현기증, 마비
* 진단 : CT, MRI (지주막하 출혈의 경우 뇌혈관 조영검사를 시행하여 동맥류 진단)
Brain CT 영상에 CNN 알고리즘을 적용하는 업무를 위해서,
뇌출혈의 종류와 진단에 대해 더 자세히 알아보자.
알아보기 전 구별하기 > 뇌졸중(stroke)은 뇌경색(cerebral infarction) + 뇌출혈(cerebral hemorrhage)
뇌출혈의 종류
- 출혈발생 위치를 CT에서 파악하고, 보이는 모양에 따라 크게 5가지로 구분할 수 있습니다.
- 경막외출혈 (Epidural hemorrhage) : 두개골과 경막(dura) 사이
- 경막하출혈 (Subdural hemorrhage) : 경막(dura)와 지주막(arachnoid) 사이
- 지주막하출혈(Subarachnoid hemorrhage) : 지주막(arachnoid)과 연질막(para) 사이
- 뇌내출혈 (Intracerebral hemorrhage) : 연질막(para) 안 뇌실에 발생하는 출혈
- 뇌실내출혈 (Intraventricular hemorrhage) : 뇌척수액이 흐르는 뇌실의 출혈

경막외출혈 (Epidural hemorrhage, EDH)

뼈와(Bone) 경막(Dura mater) 사이 출혈 발생. CT에서 양쪽이 불록한, 럭비공 모양으로 보입니다. 경막외출혈은 대부분이 외상에 의해서 발생하며, 동맥 손상에 의해 발생합니다.
고전적인 증상으로 즉각적인 의식 소실 후 회복되면 일정 시간동안 의식이 있는 의식 청명기(lucid period)가 있은 뒤 급격한 의식변화를 특징으로 합니다. 하지만 의식 청명기는 통계적으로 약 20% 정도에서만 발생합니다.
주로 젋은 연령층에서 발생하며, 노인 및 2세 미만의 소아에서는 드물게 발생합니다.
경막외출혈의 경우 출혈량이 급격히 늘어나기 때문에 수술적 치료가 필요합니다.
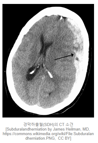
경막하출혈 (Subdural hemorrhage)

경막(Dura mater)과 지주막(Arachnoid mater) 사이에 발생. CT에서 오목한, 낫 모양으로 보입니다. 이 또한 외상에 의한 원인이 대부분이며, 위의 경막외출혈과는 반대로 정맥 손상에 의해 발생합니다.
동맥보다 압력이 낮은 정맥의 특성 상 경막하출혈이 경막외출혈(EDH)보다 출혈 양의 증가속도가 느려서 증상이 더 늦게 발생합니다. 그렇기 때문에 점차적으로 의식이 변화되고 소실되는 경우가 많습니다. 하지만, 머리의 손상이 심각하여 외상 자체의 충격이 크거나 출혈량이 많은 경우에는 즉각적인 의식 소실이 발생할 수 있습니다.
노인과 알코올 중독자 같이 뇌의 위축이 심한 환자에서는 그만큼 경막하 공간이 넓기 때문에 급성 경막하출혈이 발생할 위험도가 높습니다.
양이 적고 늘어나지 않을 경우에는 수술적 치료까지는 필요하지 않습니다. 하지만 양이 계속 늘어나고 뇌를 한 쪽으로 압박할 경우에는 수술적 치료가 필요합니다.
지주막하출혈(Subarachnoid hemorrhage)

지주막(Arachnoid mater)과 연뇌막(Pia mater) 사이에 발생. CT에서 별 모양으로 관찰됩니다. 머리의 외상 환자에서 뇌출혈 중 가장 흔하게 발견됩니다. 외상 없이도 자발적으로 발생할 수 있습니다.
양이 적을 경우에는 두통 등의 주증상이며, 양이 늘어날 경우에는 각종 신경학적 증상이 발생할 수 있으며, 가장 심할 경우에는 의식이 소실되어 혼수 상태에 빠질 수 있습니다.
치료는 이전 포스팅(아래 링크)를 참조하여주시길 부탁드립니다.
자발성 지주막하 출혈 - 머릿속 폭탄이 터져버렸습니다 [Spontaneous subarachnoid hemorrhage]
naman-bora.tistory.com
뇌내출혈 (Intracerebral hemorrhage)

연뇌막 안에 있는 뇌 실질에 출혈이 발생. CT에서 주로 둥글둥글하게 보입니다.
뇌내출혈은 외상에 의해서도 흔히 발생하며 고혈압, 당뇨, 음주, 폐경 등이 위험요소입니다. 즉, 해당 질병들이 있을 경우에 자발적으로 뇌내출혈이 발생할 확률이 올라갑니다.
증상은 두통과 함께 출혈이 발생한 부위의 뇌 기능에 따라 상이하게 나타납니다.
양이 적을 경우에는 입원하여 혈압조절 및 대증적 치료를 통해 출혈 자체는 치료가 되지만, 후유증이 주로 남기 때문에 장기적인 재활치료가 필요할 수 있습니다. 양이 많을 경우에는 수술이 필요합니다.
뇌실내출혈 (Intraventricular hemorrhage)

뇌실(cerebral ventricle)에 발생하는 뇌실내출혈은 뇌척수액이 흐르는 공간에 출혈이 동반되는 것을 이야기 합니다.
단독으로 발생하기도 하며, 지주막하출혈 혹은 뇌내출혈과 동반되어 발생하기도 합니다.
뇌압을 크게 상승시킬 우려가 있기 때문에 뇌실내출혈이 있을 경우, 치료의 핵심은 뇌압 및 혈압의 조절에 있습니다. 물론 양이 많을 경우에는 수술적 치료가 필요합니다.
뇌출혈 - 종류 및 특징 [Brain hemorrhage]
안녕하세요, 응급의학과 전문의 오기입니다. 지난 포스팅에서는 머리 속의 폭탄이라고 할 수 있는 뇌 동맥류 그리고 자발성 지주막하 출혈에 대하여 다루어 보았습니다. (자세한 사항은 아래 링
naman-bora.tistory.com
'🤓 Health care Study > - Study with me' 카테고리의 다른 글
| [SAQ] The Seattle Angina Questionnaire 정의, 내용 (1) | 2024.03.04 |
|---|---|
| [기본간호학] Vital Sign(활력징후) 영향 요인 표 정리 (BP/HR/RR/BT/SpO2) (0) | 2022.07.05 |